Thomas Dey
It's got to be Perfect
From working as an engineer to 15 years as a dentist. With multiple years of postgraduate training, I am confident in solving the wide variety of dental problems and that I see every day.Feel free to contact me for advice, a second opinion or to discuss dental treatment in the South West of England.

BDS(Lon), MFDS RCS(Ed), BEng, MSc

Pleased to meet you!
I am an ex-Dyson designer who has been a general and aesthetic dentist for nearly 15 years.I love living and working in the West Country since I moved with my little family a year ago. My first potatoes and asparagus are sprouting in the garden and I love archery and a little painting in acrylics in my spare time. Like many dentists, I consider myself to be a perfectionist - I set myself the challenge of exceeding expectations.I have a Bupa Tier 2 Certification in Endodontics (Root Canal Treatments) which means I have enhanced skills in this area compared to many general dentists. This means I can complete more complicated treatments, sometimes without needing the original crown or bridge to be replaced.I also have the gained the diploma of membership of the faculty of dental surgery from the Royal College of Surgeons (Edinburgh).
" People will stare. Make it worth their while "
... Harry Winston
A vital aspect of any treatment you have done is how it lasts:Not just on the day it is finished, but in the years to come.

A veneer is a new front surface for a tooth, custom made from porcelain, composite or ultra-strong e.max glass ceramic. The strength of veneers can rival that of natural teeth to make beautiful, long lasting changes to your smile.With an accurate and thorough process, I can help you to achieve the smile you want, regardless of your staring point.

ConsultSpeak to me about what you are looking for: Decide on a colour, and gloss, texture and shape. Unsure? I can show you what is possible and am happy to advise. Using several smile sets - like the one below - which follow classical proportions and - a well-balanced look is ensured. You are free to change your mind, once you see how it looks in your mouth.Moulds are taken, with X-rays, measurements and scans and to indicate the best options.

PreviewUsing the help of a lab and/or digitally, you will be able to see if you will be pleased with the planned changes.

3 Preparation AppointmentAt this appointment your teeth are delicately prepared and moulds taken. You are given aesthetic temporaries to wear until the final veneers are ready so you can still smile. In the next 2 weeks your veneers and crowns are custom made to order, closely following the shades and shapes chosen. They are returned to Thomas before your fitting appointment so Thomas can measure and check them for accuracy.

4 Fitting AppointmentYou attend for your fitting appointment. The veneers are tried in and only when you are happy are they fitted with permanent adhesive.

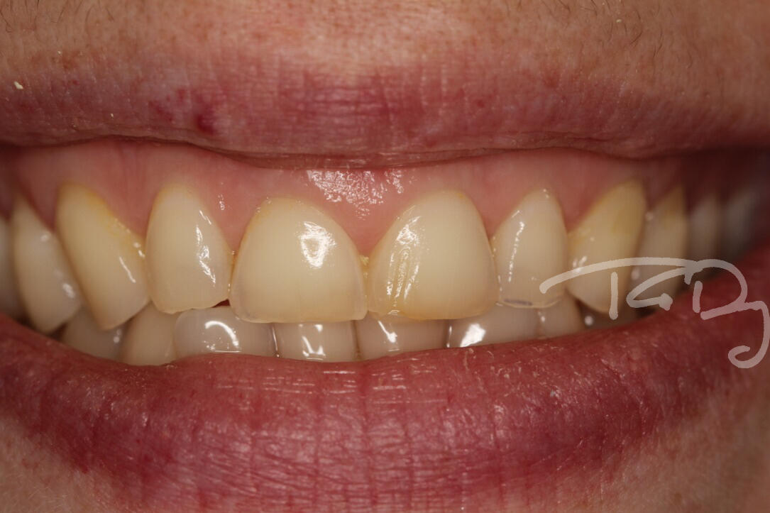
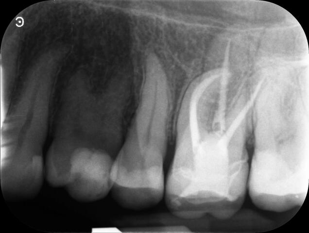
5 Review AppointmentA week later I will see you to make sure you are completely happy.LongevityTreatments on these upper teeth were done to protect them after heavy, longterm erosion.Thomas protected the teeth with beautifully strong glass ceramic crowns (shown below) after using the Dahl technique.Immediately after they were completed they were brighter, provided a better bite and better filled the gaps to support the shape of the gums.Even two years later, the above photo shows that gum health is excellent and the crowns are showing no wear.

TOOTH WHITENING 1,2,3
Tooth whitening is not magic - following simple rules carefully will always bring success. These are the instructions for simply achieving great tooth whitening results.

1 Before you start - Use Colgate Sensitive Pro-Relief
1 week before you start whitening and for 2 weeks afterwards - Use Colgate Sensitive Pro-Relief as your toothpaste.
Just Before Bed ...
2 Brush and Floss your teeth
3 Always check your whitening trays are clean and dry
Remove any water drops or moisture - use a cotton bud to clean out the main channel of the tray and all the gel reservoirs.
4 Load your trays
Push out a small, round blob of whitening gel from the syringe. Place this in to the reservoir. Break off the gel in the reservoir by pressing firmly as you remove the syringe tip. Only insert gel where there is a reservoir.When fully loaded with gel, place your trays on a flat surface - ready to use.Replace the cap and return the whitening gel to fridge.
5 Dry your teeth and load trays
Use a folded kitchen paper towel to dry your teeth. Ensure your teeth are squeaky clean before inserting the trays. Any accidents? Re-dry your teeth before inserting the tray.
6 Go to Bed
Lying down moves saliva to the back of the mouth which improves results. The process of sleeping actually reduces salivary flow and further improves whitening results especially for lower teeth.
Each morning ...
Wash your trays under running COLD WATER ONLY. Use your toothbrush to scrub them but without toothpaste. Once clean, shake them thoroughly to dry. Place your trays in their case and keep away from direct sunlight as if they overheat they can warp, meaning they no longer fit.Now wash your mouth with warm water. You can now have your breakfast. After breakfast you can brush your teeth.
The White Diet
Whilst whitening, for best results, avoid foods that would stain a white shirt.
Tomato sauces e.g. pasta
Red wine
Curries
Coffee / tea / gree tea
Fresh berries / spinach etc
If you HAVE. to have staining food - it will stop the whitening process for a few days. Even so - best to have these foods later in the day, soon before you fit your trays for the next session of whitening.
Substiutes - try these instead:
White pizza, white pasta sauces
White wine
porridge / eggs for breakfast
Mint tea
Caffeine tablets if you are desperate
Sensitivity
Some sensitivity to cold foods is normal, but only whilst you are whitening.Day 3 is normally the worst.Contact me if this is a problem (07557311921), but a way around is to place some Colgate Sensitive Pro-Relief in the whitening trays and wear it during the day for 30 mins during the day. This will resolve problems in time for the next evening's whitening.
Staging
If I am worried about you having sensitive teeth we may be organising a 2-stage schedule.In week 1 you would use the lower percentage of whitening gel.In all the following weeks you would use the higher percentage gel.Sometimes I advise a longer period of lower percentage whitening gel use. If this is the case I will tell you on the handover day.
Enquiry
Lorem ipsum dolor sit amet, consectetur adipiscing elit. Praesent vestibulum risus sit amet lectus condimentum, ac fermentum nibh ullamcorper magna.
Enquiry
Lorem ipsum dolor sit amet, consectetur adipiscing elit. Praesent vestibulum risus sit amet lectus condimentum, ac fermentum nibh ullamcorper magna.
Veneers can be made of ceramics or composites (plastics). Both can be successful based on expectations.Direct build ups in HFO using insial staining and characterisation can be done and in keeping with your patient's expectations.
" Pain is a messenger you should never ignore "Never ignore pain - it is the early warning that you need to listen to. Whether a leaking filling or crown or the first beginning of decay or an infection. Acting early will save you time, money and discomfort.Thomas has a variety of techniques to get you out of pain quickly and his many anaesthetic techniques which includes intraosseous, always follow the strongest numbing sprays means he always succeeds in making treatment completely comfortable. Follow-up visits are normally organised before you leave and full instructions are always given for any treatment done.Always try to come with information about any medications you have taken and what brings on the pain.
Aesthetic referrals
Veneers can be made of ceramics or composites (plastics). Both can be successful based on expectations.Intelligent Smile Design
Many dentists offer veneers and crowns made to measure: What some call smile design. The true measure of any treatment undertaken should be its longevity. Not only how it looks the day it is finished.But in the years to come.
BACK
Treatments on these upper teeth were done to protect them after heavy, longterm erosion.Thomas protected the teeth with beautifully strong glass ceramic crowns (shown below) after using the Dahl technique.
Immediately after they were completed they were brighter, provided a better bite and better filled the gaps to support the shape of the gums.
Even two years later, the above photo shows that gum health is excellent and the crowns are showing no wear.The patient is extremely happy with the outcome. Read more about how Intelligent Smile Design works to protect teeth and let you put your best smile forward.
" Broken teeth / fillings are alarm bells you need to react to "When teeth break it is time to act, a mouthguard can prevent further fractures, or maybe over time your teeth have grown in to new damaging positions that can be remedied.When crowns or fillings break apart from being the time to replace them, it can signal a bigger underlying problem such as an infection or a problem with gums that have gone unnoticed.For five years Thomas has used Carisolv, an advanced enzyme to gently remove decay that was developed in Sweden.Thomas repairs with modern composite materials for white fillings and e.Max glass ceramic restorations that are supremely strong, aesthetic and kind to the underlying tooth tissue.

Advice
Coronavirus and Covid-19
Dental care under our current Corona / Covid condition - or future mutations of these - are a challenge that we may have to face for some time to come. Leading a healthy life and following Government guidelines for hand and general hygiene is the best advice for anyone to best survive a Covid-19 or similar infectious disease.The dental practices that I work in have enforced stringent cross-infection controls long before the onset of Covid-19, to safeguard all patients during each and every dental visit. Further increasing that attention to sterilisation and disinfection by following the latest advice around aerosols is being made possible by using external evacuators which are over and above the Covid-19 guidance and precautions.Patients have an important role to play. If you think you may be ill, please advise the practice before your visit and isolate yourself. Also, please remember to clearly state on medical forms any likely pre-existing conditions you have, that place you in a higher risk category. This will allow us, your dental team, to protect you appropriately.
Floss, Brushes and Paste
Expanding floss absorbs more bacteria and leaves your mouth cleaner - examples are Corsodyl Expanding Floss and Wisdom Expanding. I recommend the Oral-B electric brushes as they have 40 years evidence of success. The Sensi-clean head is gentle and effective. Be gentle - do not let the red pressure warning light go on.I recommend Colgate Sensitive Pro-Relief toothpaste. Sensodyne Pronamel is also a good product to minimise abrasion and wear on teeth. Fluoride concentration should be 1200ppm minimum for adults.
When to Replace Brush Heads
When the bristles are splayed outwards. When the blue indicator ink is worn to half the originalheight. Or simply have a new brush head in. the bathroom cabinet. If in doubt, use it and if your teeth feel cleaner afaterwards it is time to dispose of the old brush head.
Supplements
Vitamin D2An essential vitamin* and only available from either sunshine (seriously lacking in England) or as a supplement. I recommend Biocare D3 Biomulsion daily as it is not spray-evaporated and so is in its original oil-based form. This means a lower dose is needed for the same (immediately-absorbed) amount, so less has to be processed and stored or excreted in bile.
Guidance adult dose: 1000IU a day.
*J Steroid Biochem Mol Biol. 2018 Jan;175:190-194. doi: 10.1016/j.jsbmb.2017.01.020. Epub 2017 Feb 1
Vitamin B3 Complex and ZincThese are both needed - zinc aids the absorption of B3. Better absorption of B3 means lower doses are needed which is better for the body's excreting organs.
Omega 3 Fish OilsI recommend Minami Mor DHA Fish Oil Gel tablets as these are the only ones made using a cold temprature process. Other industrial manufacturing processes overheat the oil to make it flow and destroy the active ingredients.
Vitamin CImportant for gum health but excessive doses of Vitamin C** are becoming popular. Your body can only store 100mg of Vitamin C a day. Excessive vitamin C increases the oxalate in urine and raises the risk of developing kidney stones.
My Top Ten of Dental Products and people - 10/10
From over a decade of working in dentistry, I have been privileged to meet some fantastically talented people, lab technicians and worked with game changing chemicals and dental products. Here are some of the things and people and make to jump out of bed on a Monday morning.
1 carisolv
2 biodentine
3 Kerr Sofclamps
4 Ultracare Benzocaine Topical 19=7.9% Bubblegum
5 HS Single Use Burs
6 4.5x Magnification with through lens lighting
7Sterling nitrile gloves for optimum dexterity
8 Septodont Ultrasafety syringes
9 Reciproc Gold motor and Reciproc Blue files10 People:
Pascal Magne, Michael Wise, Didier Dietschi, Stephen L. Buchanan, Henriette Brown, Manjeet Ahlowalia, Graham Eke,
James Dyson - A brilliant engineer and entrepreneur and a really appraochable person as well.
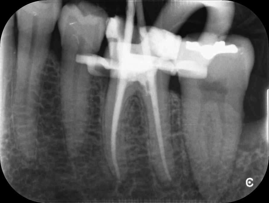
Endodontic Referrals
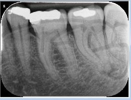
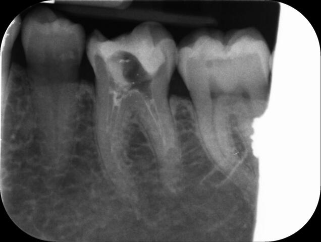
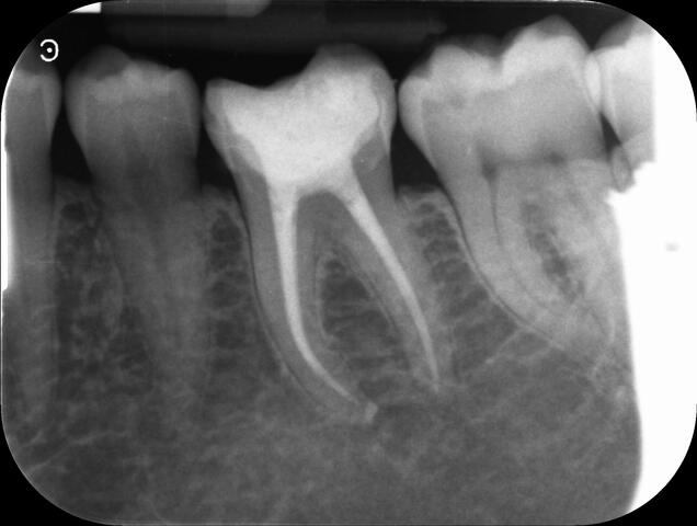
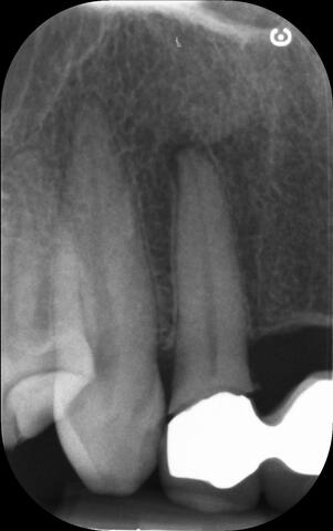
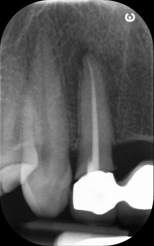
I am pleased to take endodontic referrals. Curved canals >30 degrees and potentially greater than 50 degrees can be negotiated. Sclerosed canals accessed. Post spaces prepared and the patient returned to you ready to restore.In most cases existing crowns, bridges and veneers can be retained with the endodontic access aesthetically restored after the full canal network has been treated.In the first instance I would prefer a radiograph and a brief list of patient expectations and a tooth history.
About: Root Canal Treatment
Root Canal Treatment has something of a bad reputation with patients. This is understandable, largely because when people do need a tooth to be root canal treated, they are already very much in pain. Good root canal treatment relieves the pain and retains an active, functional tooth.
Through years of experience, I know that good pre-planning and care can greatly ease your anxieties and eliminate your dental discomfort.
Before your initial consultation
There are a number of ways to decide whether you need root canal treatment and the specific x-rays, scans and tests help diagnose your problem.An important sign is the type of pain you have been having with a tooth. It helps me decide if a tooth is in need of treatment and even if it saveable.
The pain you have experienced and are currently in - happens to be very important messenger.
That is why I suggest that as much as possible, that you try to avoid painkillers in the hours before your initial root canal consultation. This is especially important when it is unclear to your regular dentist about which tooth is causing the problem.

Before your treatment Visit
Painkillers
Painkillers are best to be taken before each root canal treatment visit. This makes the procedure more comfortable and reduces swelling during and after the appointment and makes your jaw less tired from keeping your mouth open.
Clothing
Wear easy fitting clothing as you will be in the chair for longer than a typical filling. Also avoid wearing your best shirt, blouse, suit or dress - as there are chemicals used in the treatment that can sometimes discolour clothing.
How many Appointments?
Depending on your tooth condition, I can sometimes complete your treatment in one long visit. This depends on the level of infection and how well your tooth responds to the treatment.If you need to return for a further visit I will explain this to you. The fee for one-visit or two-visit treatments are normally the same, unless your case is particularly complicated in which case the options and costs will be discussed and provided to you before treatment starts.
Medical Considerations
Alergies
You do need to let me know if you are allergic to Chlorhexidine (often called corsodyl mouthwash at the pharmacy). Also I will need to know if you have allergies to latex or any antibiotics.If you have string reactions to adrenaline in dental anaesthetics, letting me know can let me use alternatives.
Medical Conditions and Devices
Please let me know if you have a pacemaker installed. Hearing aids ideally should be turned off due to the frequency of the equipment that I use. If you have any back problems, we can provide you with a cushion to make the appointment much more comfortable.
During your Visit
Covid-19
During the pandemic, my nurse and I will be wearing respirator masks, exit valve filtration, disposable gowns, visors and keep the window open and have air purification i operation where available.These are all best practice to keep you and the dental team safe.Communication is very difficult, so please ask the reception for me ot call you at a suitable time if you need to discuss your treatment in any way.
Dental Dam
Dental dam is a thin sheet of silicone or vinyl that separates the tooth we are working on from the rest of your mouth. It means that the chemicals that we use do not go into your mouth, and that your treatment can be done under aseptic conditions for the best long term results. Most patients far prefer this to non dam treatment, but please let mw know if yoy have not had it before as I can lead you through the process.If you have saliva pooling at the back of your mouth we regularly suction it out with a small tube to keep you comfortable.
Chemical taste
The dental dam means you should not be able to taste any chemicals in your mouth, though you will still be able to smell them.Le me know as soon as you do taste any chemicals as them we can reposition and reseal the dam tp prevent this from happening.
Discomfort
You should not have any discomfort during your root canal treatment. Let me know if you feel any discomfort at any time and I can provide more or different kinds of dental anaesthetics to the tooth.
Lying Back
Normally I have to lie patients back for root canal treatment, especially for upper teeth. If you have a particular problems going back, please let the reception team know and we can adjust your appointment times appropriately.
After your Visit
Fractures, Cracks and Splits
Teeth part way through root canal treatment are high risk of cracking or splitting because they have a temporary filling. Apart from being painful, it can mean that the tooth has to be extracted.Your most important task is to avoid this tragedy.
SOFT - i.e. NON-CHEWY, NON-CRUNCHY NON-CRACKLY - and EASILY DIGESTED FOOD is ideal.
Hard and chewy food, EVEN IF you try to eat on the opposite side of the mouth - eventually reaches the root canal treated tooth. Spreading food is one of the tongue's main jobs.As an extra measure, with your consent I can slightly smooth down the tooth that is under treatment so that as much pressure is not being placed on it. This is not normally a problem as most root treated teeth should ideally be repaired with a crown or an onlay-crown to protect the underlying tooth.Even with the smoothing down, hard and crunchy foods must be avoided.
Antibiotics
For some treatment cases I prescribe antibiotics to be taken after the treatment.If they are to be taken 3 times a day, split the doses to every 8 hours i.e. 7am, 3pm, 11pm. Do not let the gaps between doses vary greatly. You should have some food at the same time as you take you dose. If you have been prescribed Metronidazole you should not have any alcohol at the same time.All antibiotics affect the gut microflora and I suggest you take pre and probiotics to prevent this from leading to digestic problems or ensuing fungal infections.I recommend: Bimuno Daily (a Pre-biotic), or Kefir - ideally home made. Your pharmacist will be able to direct you to a product that is effective. Many supermarket yoghurts are not very effective, and even if you regularly take yoghurt, you need a boost during a course of antibiotics.
Pain Killers
After your first visit you may need pain killers for the first evening.After this you should be free of discomfort. You should let me know if you are continuing to take pain killers as I will need to further assess your treatment.
After your tooth extraction
Healing after an extraction depends on its condition when it is removed, your body chemistry, and how well you follow these instructions and maintain a healthy diet in the days that follow..
Through years of experience, I know that good pre-planning and care can greatly ease your anxieties and eliminate your dental discomfort after an extraction
Before your appointment
Painkillers
Take your regularly used pain killer 60 mins before your appointment. This makes the whole process more comfortable, and further painkillers and anti-inflammatory mediciens should be taken at standard intervals for the next 24h.
Clothing
Wear easy fitting clothing as you will be in the chair for longer than a typical filling. Also avoid wearing your best shirt, blouse, suit or dress - to prevent staining.
Medical Considerations
Alergies
Please let me know if you are allergic to Chlorhexidine (often called corsodyl) mouthwash. Also I will need to know if you have allergies to any antibiotics.I can use an alternative to adrenaline containing dental anaesthetics if you request.
Medical Conditions and Devices
Please let me know ...
If you are on warfarin or regular aspirin
If you have a pacemaker
If you have a prothetic heart valve
If you are under the care of a cardiologist
If you smoke
Hearing aids ideally should be turned off and if you have back problems, we can provide you with a cushion to make you comfortable.
Healing
Photos taken of how a socket where a tooth has been extracted heals can help put your mind at rest.
Day 1
Straight after your tooth is extracted a clot forms, which iis similar to a scab after a skin wound. Take care to keep the clot intact over the next weeks to speed healing and prevent infection.

Day 3
Soon you will notice a grey coloured tissue covering the clot. This is collagen and is essential to healing. With healthy healing, It is not pus or the sign of infection: Pus is yellow / butter coloured.This collagen will eventually become the soft pink 'mucosa' tissue of your mouth.

Day 7
Healing is happening deeper and the socket hole is shrinking.

2 Weeks
More collagen is visible and a saddle shape is forming in the mucosa.

4 Weeks
The mucosa is looking pinker and you will note the socket bone is still open to the mouth environment.

6 Weeks
Finally the bone at the base of the socket is sealed from the mouth and you can eat most foods without worry that the clot will get dislodged or the food will get in direct contact with the bone.

Do Expect ...
No pain for first 3-4 hours
Pain and swelling for at least the first 2 days
Your mouth may be sore for a week after
Jaw stiffness that can last 2 weeks
Sensitive teeth next to the extraction site
Bad breath
Tiredness
Stitches (if placed)- which will need to be brushed away after 1 week
Expect to take 2-3 days off work and for social functions/ work events
Do ...
Take the paracetamol and ibuprofen together (unless you must avoid ibuprofen)
Use ice packs to reduce the swelling
Bathe the extraction site with very salty water - after every meal / non-water drink and morning/night
Avoid exercise and sport for first few days and high impact / strenuous sports for a week
Take a squeeze sports bottle to work filled with salty water to rinse with in the bathroom.
Start taking your warfarin or other anticoagulants if you had stopped them.
Stop bleeding by being on gauze for upto 5 mins - but only if the bleeding is continuous.
Complications
Dry socket happens in 5-10% of patients and is an intense pain 3-5 days after the initial pain has stopped
Nerve injury is a risk with lower teeth - the relative risk depends on your anatomy
Upper teeth extractions often involve the to the sinus - do not hold sneezes in and do not rinse vigorously
Teeth can break during extraction and may need a more involved surgical removal
Bone fracture is rare and you will be told of the risk - tuberosity and mandible and more common sties
Remaining root fragments can occur
Damage to adjacent teeth / fillings / crowns may be inevitable
Recovery
Get friends / family to help you in the first few days
Take 2-3 days before returning to work
Start with seated office roles at work
Avoid heavy lifting for 1week
Avoid strenuous exercise for 14 days
Eat healthily
Maintain good oral hygiene
Keep a routine
Do Not Smoke - especially in the first 3 weeks. Use nicotine patches or gum instead.

British Dental Association
Conference 2016Lecture 1
I really enjoy undertaking root canal treatments - rising to the challenge and helping people out of dental pain for the long term.I was privileged to be asked to speak at the 2016 BDA Conference, where I have a lecture about providing quality endodontic outcomes to patients, working as a generalist. Avoiding problems and pitfalls and maximising efficiency. One of the main matters that he covered was understanding that what is seen on plane radiography is utterly misleading and should not be the criteria by which a generalist continues treatment once it has been started.
At the 2016 BDA Conference, Thomas spoke about providing quality endodontic outcomes to patients, working as a generalist. Avoiding problems and pitfalls and maximising efficiency. One of the main matters that he covered was understanding that what is seen on plane radiography is utterly misleading and should not be the criteria by which a generalist continues treatment once it has been
started.
British Dental Association
Conference 2017Lecture 1
At the 2017 BDA Conference, Thomas spoke at two lectures about getting the best out of endodontic techniques and equipment.One of the main matters that he covered was understanding the causes of false positive and false negatives in the use of electronic apex locators.He described getting the best out of other methods of root canal length determination available.
British Dental Association
Conference 2017Lecture 2
Lecture 2 Friend in Need?At the 2016 BDA Conference, Thomas spoke about providing quality endodontic outcomes to patients, working as a generalist. Avoiding problems and pitfalls and maximising efficiency. One of the main matters that he covered was understanding that what is seen on plane radiography is utterly misleading and should not be the criteria by which a generalist continues treatment once it has been started.
I
First item
Second item
Third item





















